Barta Bóka esztétikai altatásos fogászat
Dr. Barta Dávid Jenő
06-70/771-8863
Dr. Bóka Mónika
06-70/328-44-51
Szeged, Nemestakács utca 25/a
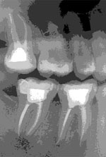
Gyökérkezelés
A gyökérkezelés célja a fertőzött szövetek eltávolítása a gyökércsatornából, belső tisztítás és a megfelelő hosszúságú és méretű üreg megformálása. Az így előkészített helyre a gyökértömő anyag behelyezhető, mely inertté teszi a fogat. Az érzéstelenítés után a kemény foganyagot átfúrva nyílást ejtünk az idegszál tetején a fogban, majd megfelelő méretű hozzáférést biztosítunk a gépi gyökérkezelő eszközök számára. A gyökércsatorna hosszának meghatározására elektromos hosszmeghatározási módszert alkalmazunk, bizonytalan esetben tűkontroll-felvételt készítünk. Az általunk használt gépi gyökérkezelő eszközök sokkal kónikusabbak, mint a hagyományos kézi eszközök, ezáltal nagyobb hatásfokú a tisztítás és nagyszámú beteganyagon értünk el hosszútávú sikereket. A csatornát vegyszerrel is átöblítjük, ami szintén a csírátlanítást szolgálja. Megfelelő méret elérése után paszta állagú és szilárd gyökértömő anyagot helyezünk a csatornákba, majd a fogat ideiglenes tömőanyaggal látjuk el a koronai részén.
Bizonyos esetekben nem zsibbadnak el a fogak. Ez a gyulladt területen felszaporodó savas termékek miatt lehetséges, mivel közömbösítik az érzéstelenítő molekulákat, így azok nem tudnak áthatolni az idegszál membránján. Ilyenkor több érzéstelenítőt adunk, esetleg idegölő fogba helyezésével egy másik időpontra halasztjuk a kezelést. Extrém mértékű vérzés, gennyes váladékozás, bármilyen nehezítő körülmény esetén felmerülhet a fog nyitva hagyása vagy gyógyszerrel való zárása gyökértömés készítése helyett.
A gyökértömés elkészülte után, egy második ülésben pedig megoldható a fog végső restaurációja (tömés, inlay, korona, stb.).
Fogágy eredetű gyulladás esetén érzéstelenítés után szükséges a genny lebocsátása, tisztítás ultrahangos fogkőeltávolítással, fertőtlenítés, majd antibiotikum adása célszerű. Sok esetben a fertőzött, fog melletti tasakból oldalcsatornákon keresztül a baktériumok elérik a fogbelet és szükség lehet a gyökérkezelésre is.
Fog melletti letokolt tályog esetén a nyálkahártyára való metszéssel lehet leggyorsabban a fájdalmat és a duzzanatot csökkenteni, majd a megfelelő fog gyökérkezelését el kell végezni.
Gyökértömés revíziója
Sajnos a már korábban gyökértömött fogak is fájhatnak (pl. helytelen munkahossz választás esetén, elnézett és nem kezelt csatorna, de lehet anatómiai akadály miatt is, mondjuk, ha a fő csatorna kettéágazik, stb.). Ez sok esetben a fog újra kigyökérkezelésével, a gyökértömés revíziójával helyrehozható. Ilyenkor a régi gyökértömés eltávolítása nehézkes lehet.